网站首页 >> 典型案例 >> 文章内容

陈学忠教授运用薏苡附子败酱散治疗肝痈病案1例

日期:2022-11-21 来源:全国名老中医陈学忠传承工作室 作者:全国名老中医陈学忠传承工作室 阅读:877

                           文霞1     陈学忠2

作者简介: 文霞,女,全国名中医陈学忠传承工作室大邑师承班学员,四川大邑,611330  E-mail961322773@qq.com

通讯作者:陈学忠,男,四川省第二中医院,指导老师,四川成都,610000E-mailsccd865@sina.com

摘要:患者为93岁老年男性,诊断为肝脓肿,家属要求保守治疗,拒绝肝脓肿穿刺引流。陈学忠教授考虑患者为冷脓肿,采用薏苡附子败酱散加减以温阳利湿排脓,效果显著。

关键词:肝痈   薏苡附子败酱散  

医案:

李某,男,93岁,于20221013日在我院住院治疗。

主诉:反复心累8年,复发1天。

现病史:入院8年前,患者自觉活动后心累,无夜间阵发性呼吸困难及双下肢水肿等。20余天前出现腹泻,于我院门诊口服药物后腹泻基本停止。1天前出现心累明显,纳差,乏力,右上腹压痛,无发热畏寒咳嗽咳痰、咯血胸痛、心前区压榨感、夜间阵发性呼吸困难、双下肢水肿等,今来我院就诊,门诊以慢性心力衰竭收入院。病后饮食差,二便正常,体重未监测。

既往史:既往高血压病30余年,口服施慧达2.5mg qd降压。

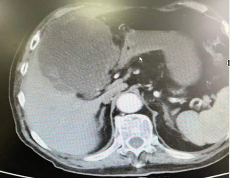
辅助检查:BNP正常。2022-10-15 腹部脏器(常规):肝内混合回声团:肝脓肿?请结合临床。2022-10-16 上腹部CT(平扫,增强扫描):肝右叶团块影,考虑感染性病变(大小约12.0*10.5*9.6cm)。

           

治疗过程:诊断考虑肝脓肿,予以舒普深抗联合替硝唑感染、营养支持等治疗。建议患者行脓肿穿刺引流术,患者家属考虑患者高龄,拒绝穿刺引流,要求在我科继续保守治疗,反复沟通保守治疗可能加重患者病情,甚至可能死亡,家属表示理解。20221021日陈学忠教授予以诊治。

刻见症:精神萎靡,身体消瘦,面色苍白,饮食差,饮食后呕吐,口苦、口干,腹痛不明显,轻压痛,语声低微,肢体乏力,困倦,怕冷,平卧于床,无发热、寒战,未解大便,舌质淡胖有齿印,舌质黯,苔微黄腻,脉细弱。

诊断:肝痈

证型:阳虚血瘀,湿热阻滞,腐败成脓。

治法:排脓消痈,温阳化瘀,清热利湿

处方:薏苡附子败酱散+赤小豆当归汤+四逆汤加减

附片 60g 久煎   薏苡仁 30g    败酱草 30g      黄芪 100g         

生晒参 30g     干姜 30g     甘草 15g        柴胡 15g          

当归 12g      赤小豆 30g    赤芍 30g        桂枝 15g          

牡丹皮 15g       

中药4,每天三次,每次一袋,水煎(有)500ml,口服(中药)。

20221026日复查腹部CT提示:肝右叶团块影,考虑感染性病变,目前病变略较前增大(大小约12.0*11.5*10.2cm)。

            

20221028日二诊:患者精神较前改善,半卧于床,饮食较前增多,无恶心呕吐,右上腹仍压痛,大便12次,舌质淡红偏黯,苔薄黄微腻,脉细弱。患者症状缓解,在原方基础上减去牡丹皮。

2022114日三诊:患者精神可,可由家属搀扶行走几步,饮食较前明显改善,右上腹轻压痛,大便2日未解,舌质淡红偏黯,苔薄白微腻,脉细弱。将赤芍加量至50g 、加用桃仁15g活血化瘀,润肠通便。

20221110日再次复查腹部CT:肝右叶区域团块影,考虑感染性病变,目前病变较前明显减少。

        

20221117日患者精神可,饮食较入院时改善,可自行行走,肢体稍感乏力不适,腹部无压痛。患者病情稳定,于今日出院。

讨论:

   本病例同时采用中西医结合治疗。中医辨病为肝痈。《素问·大奇论》曰:“肝痈,两肱满,卧则惊,不得小便。”肝痈是指湿热虫毒等邪侵袭于肝,以致肝气郁滞,血液淤阻,邪毒与气血搏结壅潘,血败肉腐,酿成痈脓。初起以湿热蕴结、热毒淤滞为基本病机,后期多表现为正虚邪恋。但该患者腹痛不甚,无发热、寒战,故陈老考虑患者为冷脓肿,是由素体阳虚湿热瘀血互结,腐败成脓所致。患者高龄,阳气亏虚,鼓动无力,温煦失司,故见怕冷,精神萎靡,肢体乏力,语声低微;湿热侵袭,脾阳不振,运化无力,脾胃升降失司,可见饮食差,呕吐,困倦;湿热瘀血互结,血败肉腐,酿成痈脓,故见腹痛;邪侵袭于肝,肝气郁滞,肝失疏泄,胆汁上逆,故见口苦、口干;患者素体阳虚,热毒已聚结于局部,脓已形成,邪热不再外散,故体表不发热。治疗上陈老予薏苡附子败酱散+赤小豆当归汤加减以排脓消痈,温阳化瘀,清热利湿。

薏苡附子败酱散出自《金匮要略》:肠痈之为病,其身甲错,腹皮急,按之濡,如肿状,腹无积聚,身无热,脉数,此为肠内有痈脓,薏苡附子败酱散主之。此方所论肠痈,一般病势较缓,病程较长,发热恶寒不明显,甚或不热,辩证多属于阳虚者。本病例患者虽病位不在肠腑,在肝,但病机一致,故陈老采用此方加减。方中薏苡仁甘淡微寒,可清热利湿排脓,附片辛甘大热,可振奋阳气,辛热散结,败酱辛苦微寒,以清热解毒,消痈排脓,祛瘀止痛,加用赤小豆当归汤以排脓血,除湿热,活血化瘀;柴胡舒肝解郁;赤芍、牡丹皮清热凉血,活血化瘀;患者体虚,阳气不足,大剂量附片配以干姜、甘草,有四逆汤之意以温阳散寒,回阳救逆,加用桂枝温通阳气,以温阳、通阳、养阳,配以生晒参大补元气,大剂量生黄芪补益脾气,托毒生肌,升阳活血,阳气得复,鼓动有力,气血畅流,痈无由生。

西医诊断为肝脓肿,需行脓肿穿刺引流术,但患者家属拒绝,要求保守治疗。在使用舒普深联合替硝唑氯化钠抗感染治疗半月后,复查腹部CT提示肝脓肿大小较前略增大,在配合薏苡附子败酱散治疗过程中患者精神、饮食等症状逐渐改善,阳气渐复。治疗1-月后脓肿明显缩小,病情逐渐稳定。在该患者的整个治疗过程中,中医起到了积极的作用。二者结合,缩短了患者病程,改善了患者愈后,效果显著。

回想1年余前在我科同样诊断为肝脓肿的一名患者,有腹痛、发热、寒战等症状,明确诊断后的第二天转入“华西医院”治疗,给予抗感染、脓肿穿刺引流、营养支持等措施,患者病情恶化于40天后死亡。对比两个病例,前者为冷脓肿,一般病势较缓,西医治疗结合中医辩证论治,二者加持,使患者病情转危为安;后者病势急,进展快,虽然西医采取多种治疗措施,但未能扭转患者愈后,如果尽早结合中医诊治,该患者能否有一线生机?

因此,在疾病的诊治过程中,中西医各有优势,在不同环节按照中西医各自的理论优选各自的疗法,有机配合,相互补充,这样往往能获得更高的疗效。我们要充分了解中医、西医的优势病种,不断学习与探索,不盲目、不厚此薄比,从患者角度出发,能客观的为患者提供最优的诊疗方案。